Studio Dentistico Oria
Protesi fisse e mobili su impianti dentalI
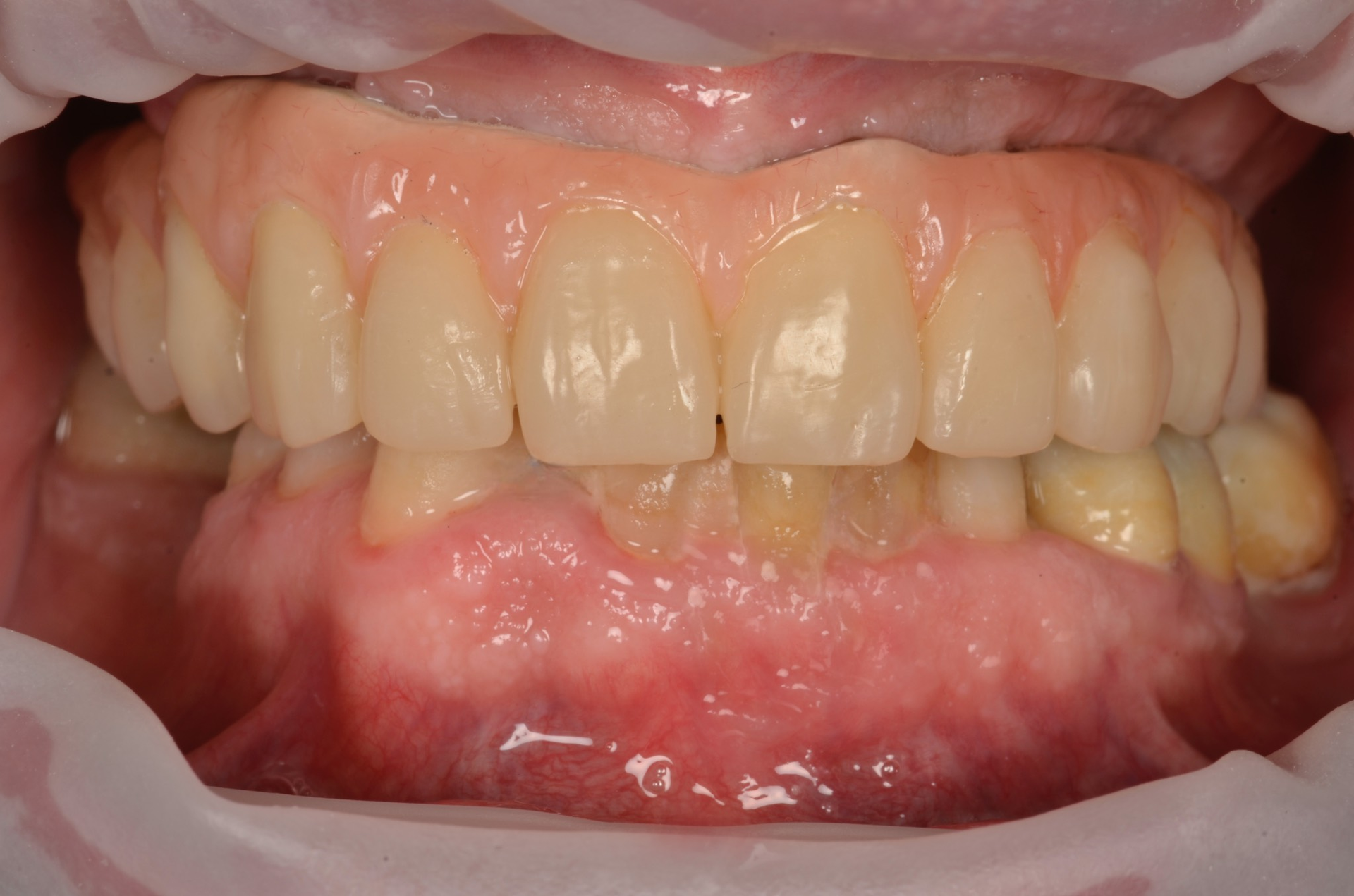
Quando mancano uno o più denti, oggi è possibile tornare a sorridere e masticare in modo naturale grazie alle protesi su impianti dentali. Presso lo Studio Dentistico Oria di Torino realizziamo riabilitazioni complete, sia con protesi fisse che con protesi rimovibili ancorate su impianti, offrendo soluzioni stabili, estetiche e su misura per ogni paziente.
La nostra lunga esperienza e l’utilizzo di tecnologie digitali avanzate, come TAC 3D, scanner intraorale e progettazione CAD/CAM, ci consentono di raggiungere un livello di precisione e comfort altissimo, anche nei casi più complessi.
Cosa significa avere una protesi su impianti
Una protesi su impianti è una struttura dentale che viene fissata o ancorata a impianti in titanio inseriti nell’osso, che sostituiscono in tutto e per tutto le radici naturali. Grazie a questo tipo di riabilitazione, è possibile ripristinare la funzionalità e l’estetica del sorriso senza ricorrere a soluzioni mobili instabili o fastidiose, come le vecchie dentiere tradizionali.
L’obiettivo è restituire una masticazione sicura, un’estetica naturale e una piena fiducia nel proprio sorriso.
Protesi fisse su impianti: la soluzione piU' simile ai denti naturali
Le protesi fisse su impianti vengono fissate saldamente agli impianti mediante piccole viti o cemento. Sono completamente non rimovibili dal paziente e rappresentano la scelta ideale per chi desidera una soluzione definitiva, stabile e di lunga durata.
Possono sostituire:
- un singolo dente (con una corona su impianto)
- più denti contigui (con un ponte su impianti);
- un’intera arcata dentale (con protesi completa avvitata su impianti multipli).
Presso dentista Torino Oria realizziamo impianti dentali con tecniche digitali di ultima generazione: lo scanner intraorale sostituisce le vecchie paste per impronta, mentre la progettazione CAD/CAM consente di ottenere protesi perfette al decimo di millimetro, armoniche con il viso e le labbra, grazie alla simulazione digitale del risultato terapeutico smile design.
I materiali impiegati – ceramica, zirconia o disilicato di litio – offrono un’estetica eccellente, resistenza all’usura e un aspetto assolutamente naturale.

Protesi mobili su impianti (Overdenture): stabilitA' e comfort senza colla
Le protesi mobili su impianti, dette anche overdenture, sono una valida alternativa per i pazienti che hanno perso tutti i denti ma desiderano una soluzione stabile e comoda, ma preferiscono poter asportare la protesi per una più facile igiene. A differenza delle protesi mobili tradizionali, non si appoggiano solo sulla gengiva ma si agganciano a impianti dentali tramite attacchi di precisione, come locator, barre o sfere magnetiche.
Questo sistema permette di:
- eliminare completamente la necessità di colle o paste adesive;
- evitare fastidiosi movimenti della dentiera durante la masticazione o la parola;
- garantire una pulizia quotidiana semplice, poiché la protesi può essere rimossa facilmente dal paziente.
L’overdenture rappresenta un ottimo compromesso tra funzionalità, estetica e praticità, particolarmente indicata per i pazienti anziani o per chi presenta un’atrofia ossea marcata.
Come avviene il trattamento
- Visita diagnostica e pianificazione digitale: durante la prima visita vengono eseguite TAC 3D e scansioni digitali per valutare i volumi ossei e pianificare il numero e la posizione ideale degli impianti.
- Inserimento degli impianti dentali L’intervento viene eseguito con chirurgia guidata computerizzata, mini-invasiva e indolore, spesso in una sola seduta.
- Fase di guarigione e osteointegrazione: dopo l’inserimento, gli impianti si integrano progressivamente con l’osso in un periodo di alcune settimane.
- Progettazione e applicazione della protesi definitiva: rileviamo l’impronta digitale e realizziamo la protesi personalizzata, che viene avvitata o ancorata agli impianti.
- Controlli e mantenimento Con controlli periodici e igiene professionale regolare, la protesi su impianti può durare molti anni mantenendo estetica e funzionalità perfette.
vantaggi delle protesi su impianti
- Stabilità e sicurezza: si può parlare, ridere e mangiare senza timore che la protesi si muova.
- Estetica naturale: materiali e design su misura per un sorriso armonioso.
- Conservazione dell’osso: l’impianto stimola il tessuto osseo, prevenendo il riassorbimento.
- Comfort e sensazione naturale: niente colle, sfregamenti o dolori gengivali.
- Igiene semplificata: più facile da mantenere pulita rispetto alle protesi tradizionali.
Un sorriso stabile e naturale, grazie all’esperienza e alla tecnologia
Presso lo Studio Dentistico Oria Torino, la riabilitazione protesica su impianti viene pianificata e progettata interamente all’interno della struttura, con diagnostica digitale, scanner, TAC e laboratorio CAD/CAM di supporto. Grazie a un’esperienza clinica di oltre 30 anni, offriamo soluzioni estetiche e funzionali personalizzate, pensate per restituire sicurezza, armonia e benessere duraturo




