Studio Dentistico Oria
PROTESI DENTArie a Torino
Un dente che si rompe, si consuma o viene perso non compromette solo l’estetica del sorriso: può influenzare il modo in cui mastichiamo, parliamo e ci relazioniamo. Per questo, le protesi dentali moderne non servono solo a “sostituire” un dente mancante, ma a ricostruire armonia, comfort e fiducia.
Presso lo Studio Dentistico Oria, realizziamo protesi dentarie a Torino su misura, progettate digitalmente per integrarsi perfettamente con il volto e con il modo in cui il paziente sorride, parla e mastica.
Presso lo Studio Dentistico Oria di Torino realizziamo protesi dentali fisse di ultima generazione, progettate digitalmente per restituire al paziente funzionalità masticatoria, estetica naturale e durata nel tempo.
Grazie alle tecnologie CAD/CAM, scanner intraorale e Digital Smile Design, ogni restauro viene eseguito con precisione micrometrica e perfetta integrazione con i tessuti naturali.
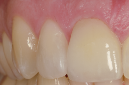
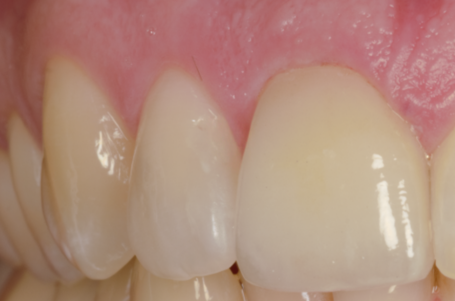
Le principali tipologie di protesi fisse includono corone, ponti, intarsi e faccette estetiche: ognuna con specifiche indicazioni, vantaggi e caratteristiche tecniche.
corone dentali
Le corone (note anche come “capsule”) rivestono completamente il dente naturale o un impianto dentale, proteggendolo e restituendogli forma, funzione e colore. Sono indicate nei casi di:
- denti gravemente compromessi o devitalizzati;
- fratture coronali estese;
- ricostruzioni estetiche complesse;
- riabilitazioni su impianti.
Vantaggi
- Elevata resistenza meccanica e durabilità nel tempo.
- Estetica naturale, grazie ai materiali ceramici traslucenti.
- Protezione del dente da ulteriori danni o infiltrazioni.
- Possibilità di ripristinare correttamente l’occlusione e la masticazione.
Cenni merceologici e tecnici
Le corone moderne vengono realizzate con sistemi CAD/CAM, partendo da una scansione ottica 3D. I materiali più utilizzati sono:
- Zirconia multistrato: altamente resistente e biocompatibile, con effetto naturale.
- Disilicato di litio (E.max): eccellente traslucenza e resa estetica per i settori anteriori.
- Metallo-ceramica: lega interna per resistenza, ceramica esterna per estetica. La precisione della fresatura digitale garantisce un adattamento marginale perfetto e sigillatura ottimale.
ponti dentali

I ponti dentali sostituiscono uno o più denti mancanti, ancorandosi ai denti naturali adiacenti o agli impianti. Si compongono di corone di supporto e di elementi intermedi (pontici) che colmano lo spazio edentulo.
Vantaggi
- Ripristino immediato della funzione masticatoria e fonetica.
- Risultato estetico integrato con i denti naturali.
- Stabilità e comfort senza necessità di rimuovere la protesi.
- Possibilità di sostituzione rapida dei denti mancanti senza interventi chirurgici (nei ponti tradizionali).
Cenni merceologici e tecnici
I ponti vengono progettati digitalmente, modellando virtualmente l’occlusione e la forma dentale. Possono essere realizzati in:
- zirconia monolitica o stratificata, per robustezza e estetica;
- metallo-ceramica, per maggiore resistenza nei settori posteriori;
- disilicato di litio, per riabilitazioni anteriori ad alta valenza estetica. La precisione del flusso digitale assicura un contatto gengivale armonioso e un’estetica perfetta.
intarsi dentali
Gli intarsi sono ricostruzioni parziali del dente che sostituiscono otturazioni estese, preservando la parte sana. Sono indicati in caso di:
- carie profonde ma non tali da richiedere una corona;
- ricostruzioni di vecchie otturazioni infiltrate;
- necessità estetiche nei settori posteriori.
Si distinguono in:
- inlay, interni alle cuspidi;
- onlay, che ricoprono una o più cuspidi;
- overlay, che rivestono interamente la superficie occlusale.
Vantaggi
- Conservazione di maggior quantità di dente naturale.
- Resistenza superiore rispetto alle otturazioni dirette.
- Precisione e adattamento perfetto grazie alla realizzazione digitale.
- Estetica naturale e stabilità nel tempo.
Cenni merceologici e tecnici
Gli intarsi vengono progettati con software CAD e realizzati in laboratorio tramite fresatura o stampa 3D. I materiali più utilizzati sono compositi ad alta densità, ceramica o disilicato di litio, scelti in base alla posizione e alle esigenze estetico-funzionali. La cementazione adesiva finale garantisce massima adesione e integrità strutturale.
faccette dentali estetiche
Le faccette dentali sono sottili lamine in ceramica o composito che si applicano sulla superficie frontale dei denti anteriori. Sono indicate per correggere:
- discromie e macchie resistenti allo sbiancamento;
- forme dentali irregolari o sproporzionate;
- piccoli disallineamenti o spazi interdentali;
- fratture o usure dello smalto.
Vantaggi
- Massima estetica: effetto naturale e luminoso.
- Intervento minimamente invasivo, con minima rimozione di smalto.
- Durata nel tempo e stabilità del colore.
- Possibilità di personalizzare forma e tonalità in base al viso e al sorriso del paziente.
Cenni merceologici e tecnici
Le faccette vengono progettate digitalmente tramite scanner intraorale e simulazione estetica DSD. Realizzate in ceramica feldspatica o disilicato di litio, vengono stratificate artigianalmente per imitare la naturale traslucenza dello smalto. La cementazione adesiva con sistemi fotopolimerizzabili garantisce adesione stabile e margini invisibili. Il paziente può visualizzare una prova estetica (mock-up) prima della realizzazione definitiva.
Tecnologia e controllo digitale
Sei alla ricerca di uno studio dentistico per mettere delle protesi dentarie a Torino? Lo Studio Dentistico Oria realizza tutte le protesi dentali fisse con flusso digitale integrato:
- scanner intraorale 3D per l’impronta ottica senza materiali fastidiosi;
- software CAD/CAM per la progettazione e la fresatura computerizzata;
- microscopio operatorio per la rifinitura e l’adattamento marginale;
- TAC 3D e fotografia clinica per la programmazione estetica e funzionale.
Questo consente risultati più precisi, predicibili e confortevoli, con una perfetta integrazione biologica e un’estetica di altissimo livello.
Studio Dentistico Oria Torino: Eccellenza nelle protesi estetiche e funzionali
Con oltre 30 anni di esperienza e un approccio digitale completo, lo Studio Dentistico Oria Torino realizza
protesi dentarie a Torino funzionali, estetiche e perfettamente adattate a ogni paziente. Ogni restauro viene eseguito su misura, unendo tecnica, estetica e innovazione per restituire al sorriso naturalezza, armonia e durata.
Contatta lo studio
Per la realizzazione di protesi dentarie a Torino



