Studio Dentistico Oria
CASI CLINICI a Torino
Presso lo Studio Dentistico Oria presentiamo una selezione di casi clinici che testimoniano la qualità del nostro lavoro e l’efficacia dei trattamenti eseguiti. Ogni intervento è il risultato di un’attenta valutazione diagnostica, dell’utilizzo di tecnologie digitali avanzate e dell’esperienza consolidata della nostra equipe. Attraverso immagini e descrizioni dettagliate, mostriamo il percorso terapeutico dei pazienti, dal problema iniziale alla completa riabilitazione funzionale ed estetica. Questa sezione nasce per offrire trasparenza, dimostrare la nostra competenza clinica e aiutare chi ci sceglie a comprendere meglio i diversi approcci terapeutici disponibili.

Riabilitazioni con arcate complete su impianti – All-on-4, All-on-6 e Toronto Bridge
Le tecniche All-on-4 e All-on-6 rappresentano soluzioni implantologiche avanzate per riabilitare intere arcate dentarie con un numero ridotto di impianti, restituendo al paziente una dentatura fissa, stabile e dall’estetica naturale.
Presso lo Studio Dentistico Oria di Torino, utilizziamo protocolli digitali e chirurgia guidata per pianificare con estrema precisione il posizionamento degli impianti, garantendo tempi di guarigione più rapidi e massimo comfort.
- All-on-4: 4 impianti strategici per sostenere un’intera arcata, ideale nei casi con ridotto volume osseo.
- All-on-6: 6 impianti per una maggiore distribuzione delle forze e un supporto ottimale nei pazienti con osso adeguato.
- Toronto Bridge: protesi avvitata su impianti con struttura metallica e rivestimento estetico, una soluzione stabile, precisa e di grande valore funzionale ed estetico.
Queste tecniche permettono di ottenere un sorriso fisso anche in pazienti che portavano da anni una dentiera mobile, con risultati immediati e duraturi nel tempo.
Grazie all’uso della microscopia operatoria, della pianificazione digitale 3D e dei materiali di ultima generazione, possiamo garantire un’elevata precisione, estetica e biocompatibilità in ogni fase del trattamento.
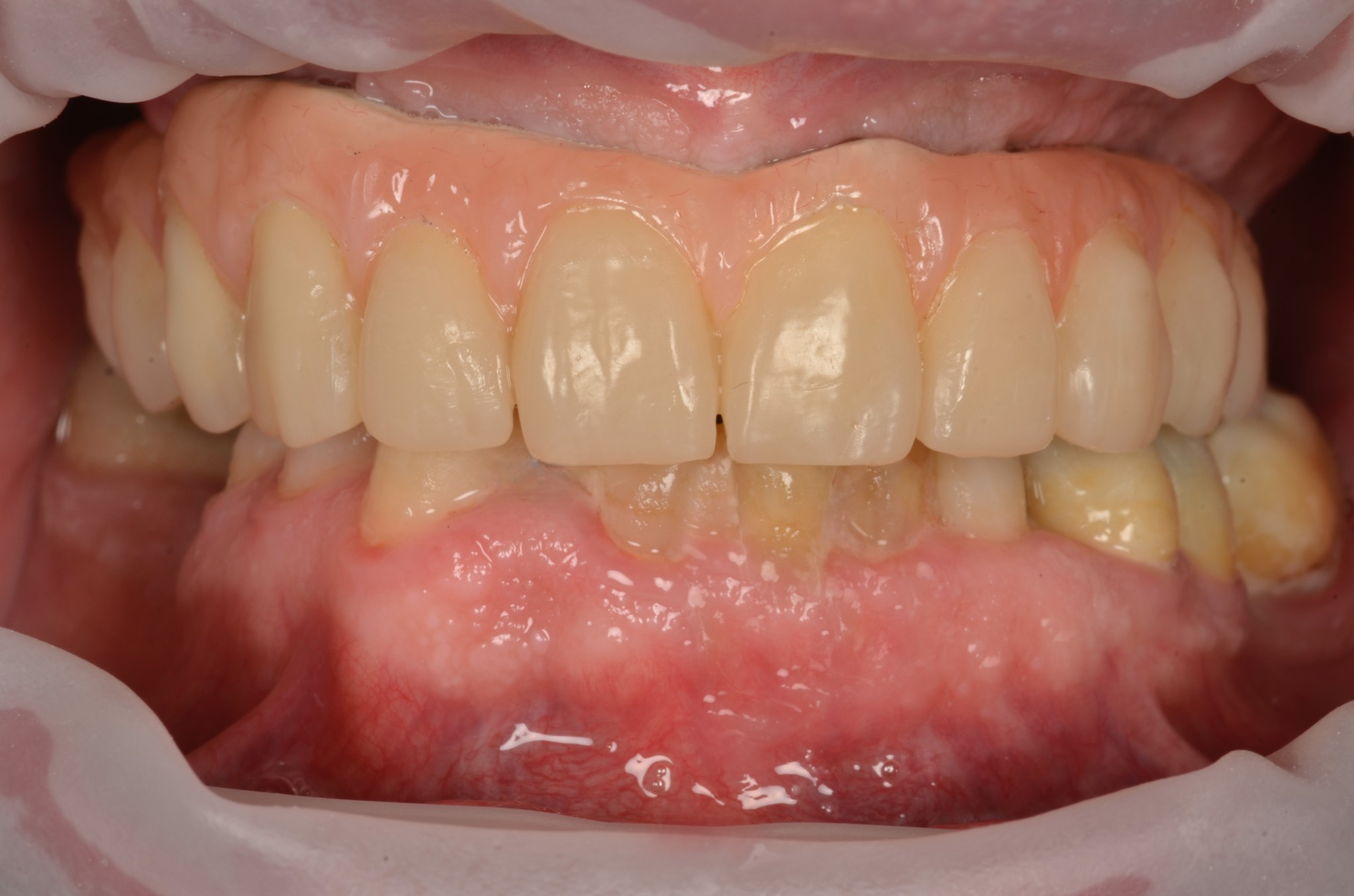
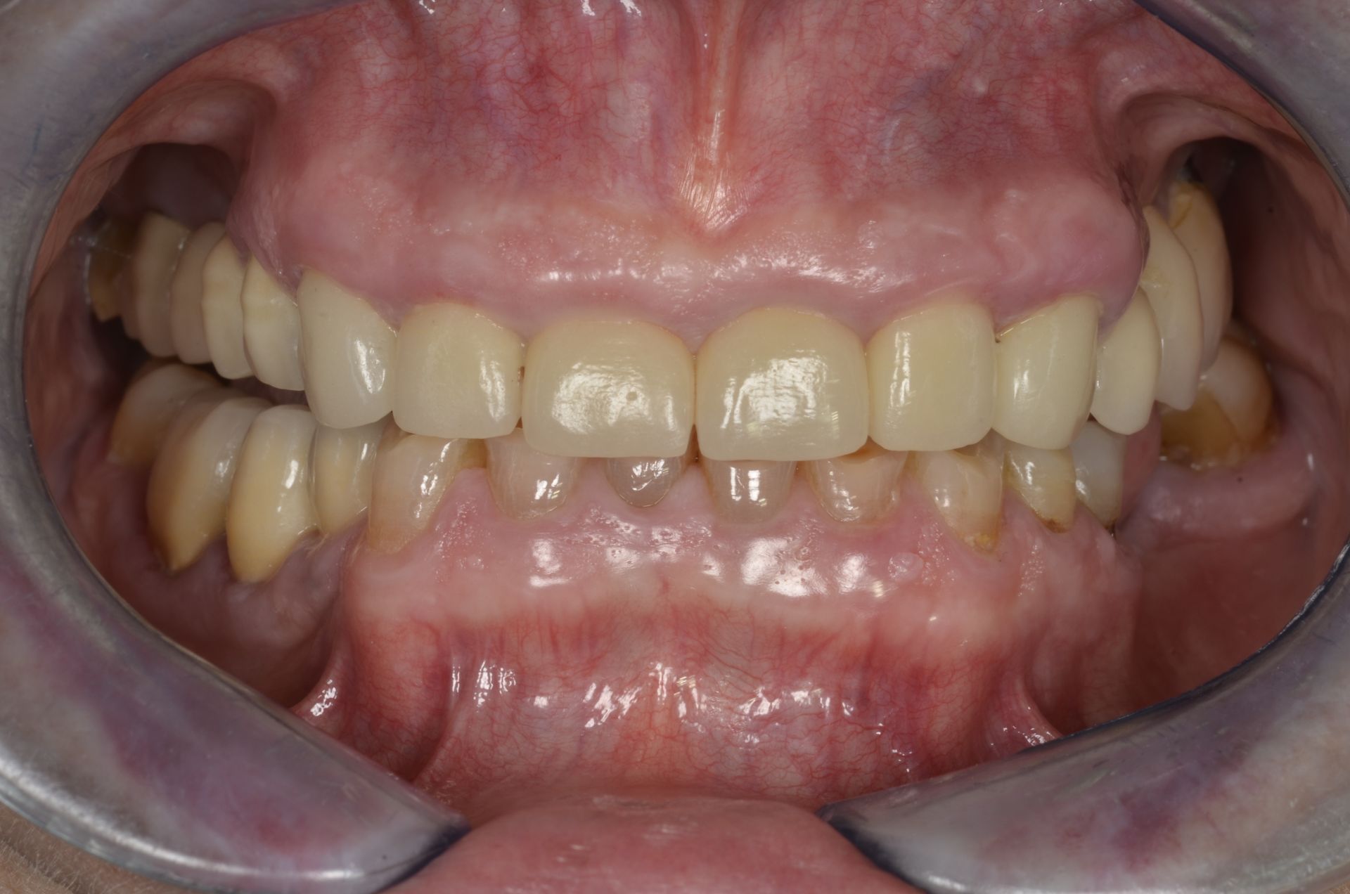
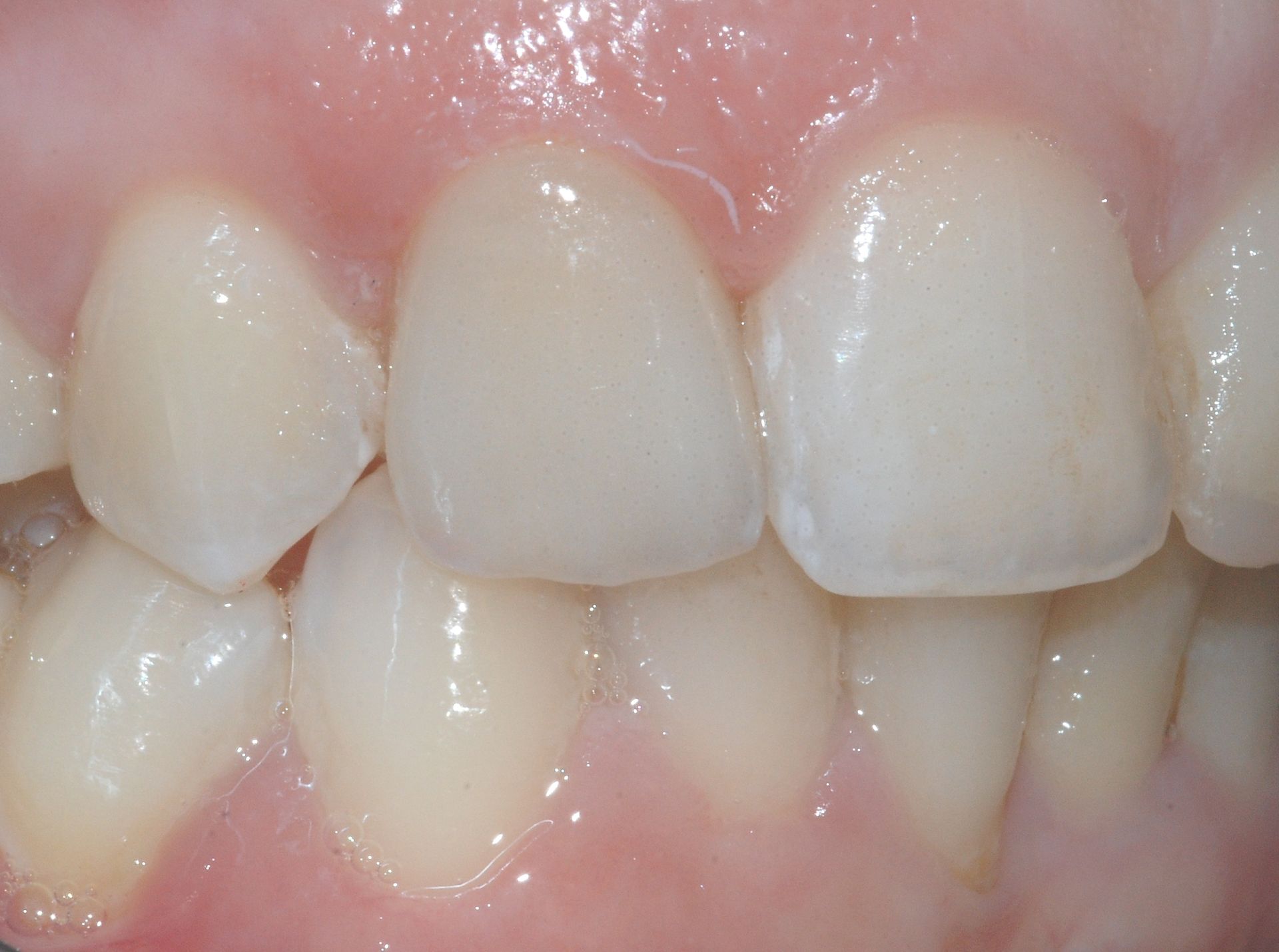
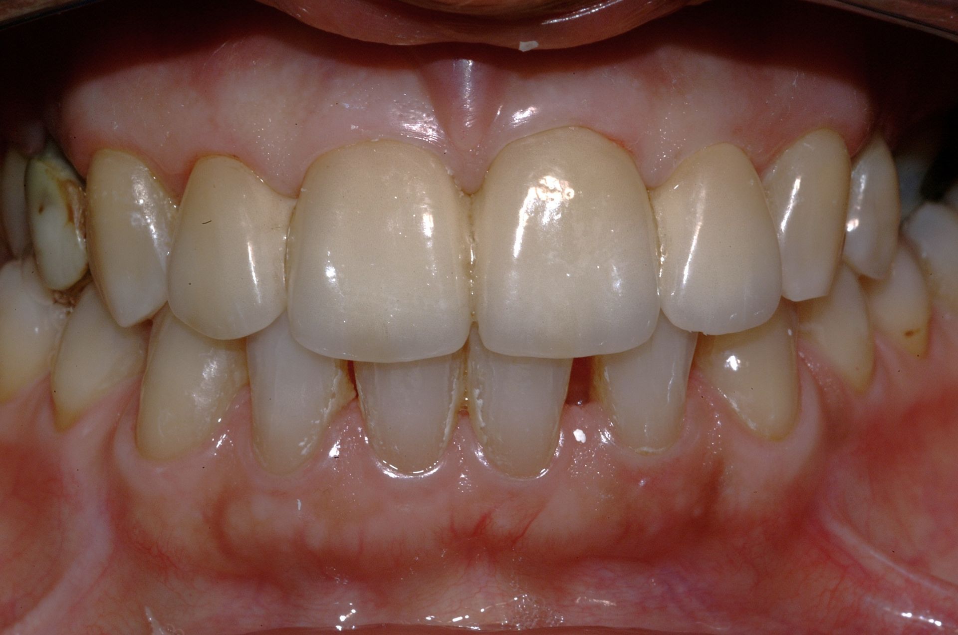
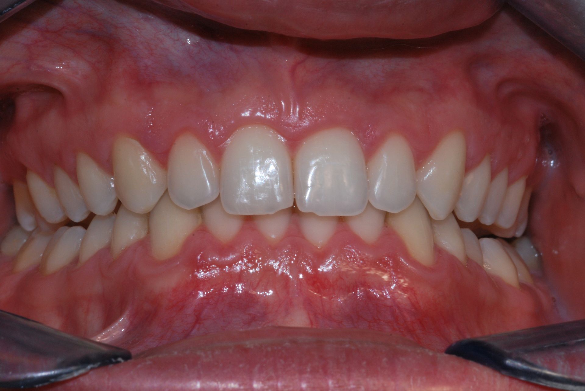
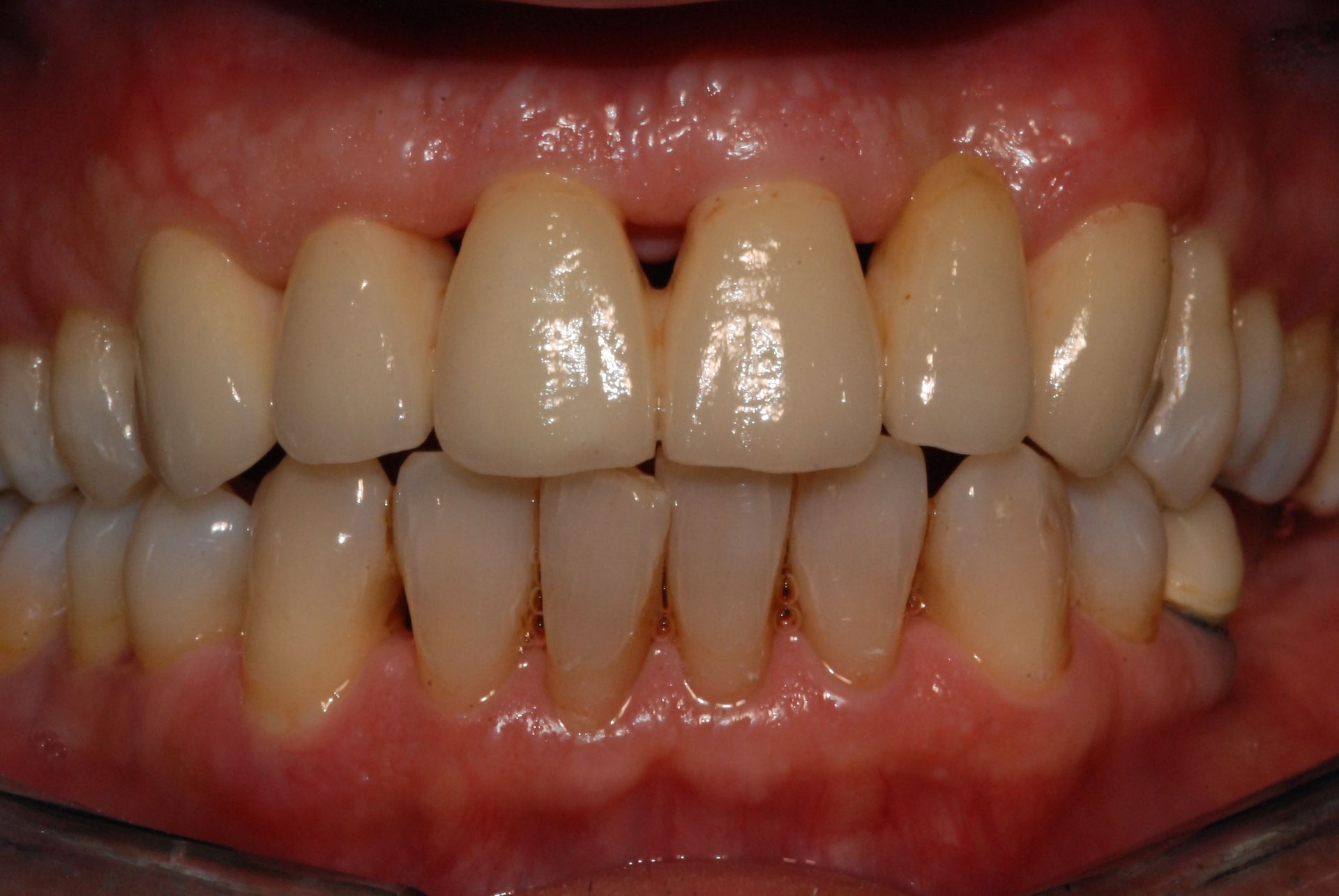
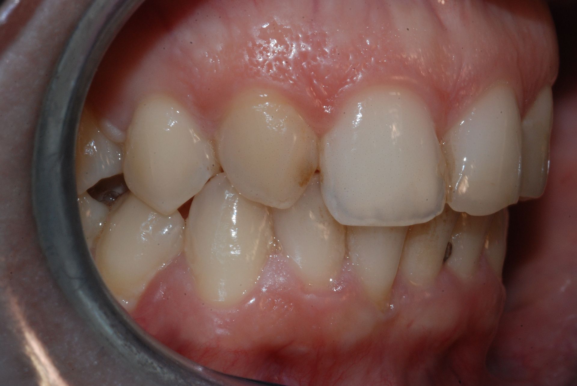
corone dentali
Le corone dentali sono protesi fisse che rivestono completamente il dente naturale danneggiato o un impianto dentale, restituendone forma, funzione ed estetica. Rappresentano la soluzione ideale in caso di denti fratturati, devitalizzati, gravemente consumati o con discromie che non possono essere corretti con otturazioni o faccette.
Presso lo Studio Dentistico Oria a Torino, realizziamo corone dentali su misura con tecnologia CAD-CAM digitale e microscopio operatorio, che garantiscono massima precisione di adattamento, estetica naturale e lunga durata.
Tipi e materiali di corone dentali
- Corone in ceramica integrale: completamente metal-free, offrono la massima resa estetica, perfette per i denti anteriori.
- Corone in zirconia o disilicato di litio: estremamente resistenti, biocompatibili e con un’eccellente traslucenza simile allo smalto naturale.
- Corone metallo-ceramica: combinano un’anima metallica con un rivestimento ceramico estetico, ideali per i settori posteriori.
- Corone su impianti: fissate su fixture implantari per sostituire uno o più denti mancanti con risultati funzionali e stabili.
Il processo inizia con la preparazione del dente e la Impronta con scanner). Il modello virtuale permette di progettare la corona con estrema precisione, che viene poi realizzata in laboratorio e cementata o avvitata in modo definitivo. Questo flusso completamente digitale riduce i tempi e garantisce un risultato personalizzato, estetico e perfettamente integrato nel sorriso del paziente.
Affidati allo Studio Dentistico Oria di Torino per una corona dentale resistente, naturale e su misura, progettata con tecnologie all’avanguardia e attenzione a ogni dettaglio estetico.
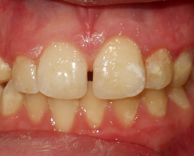
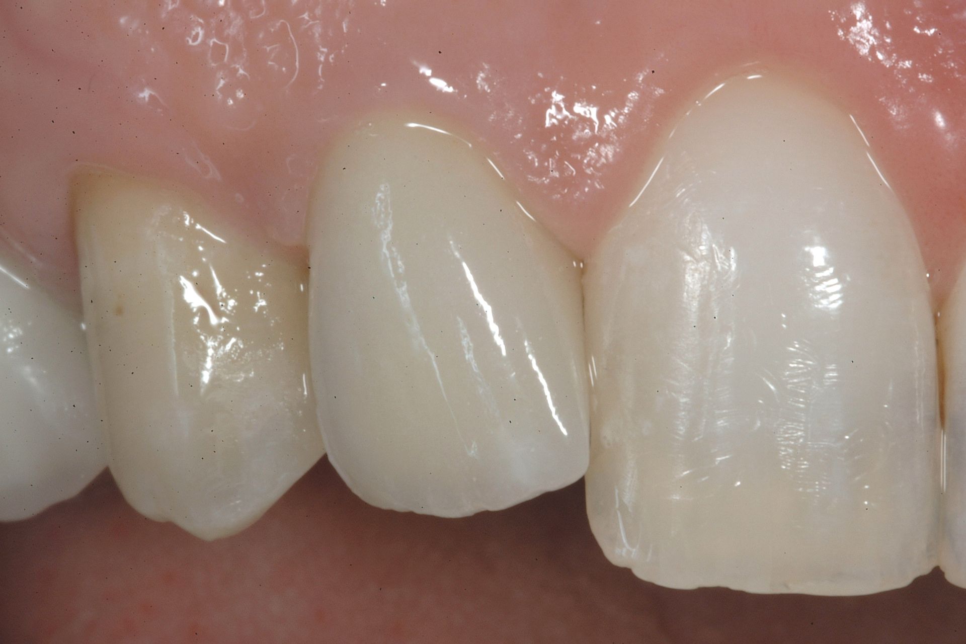
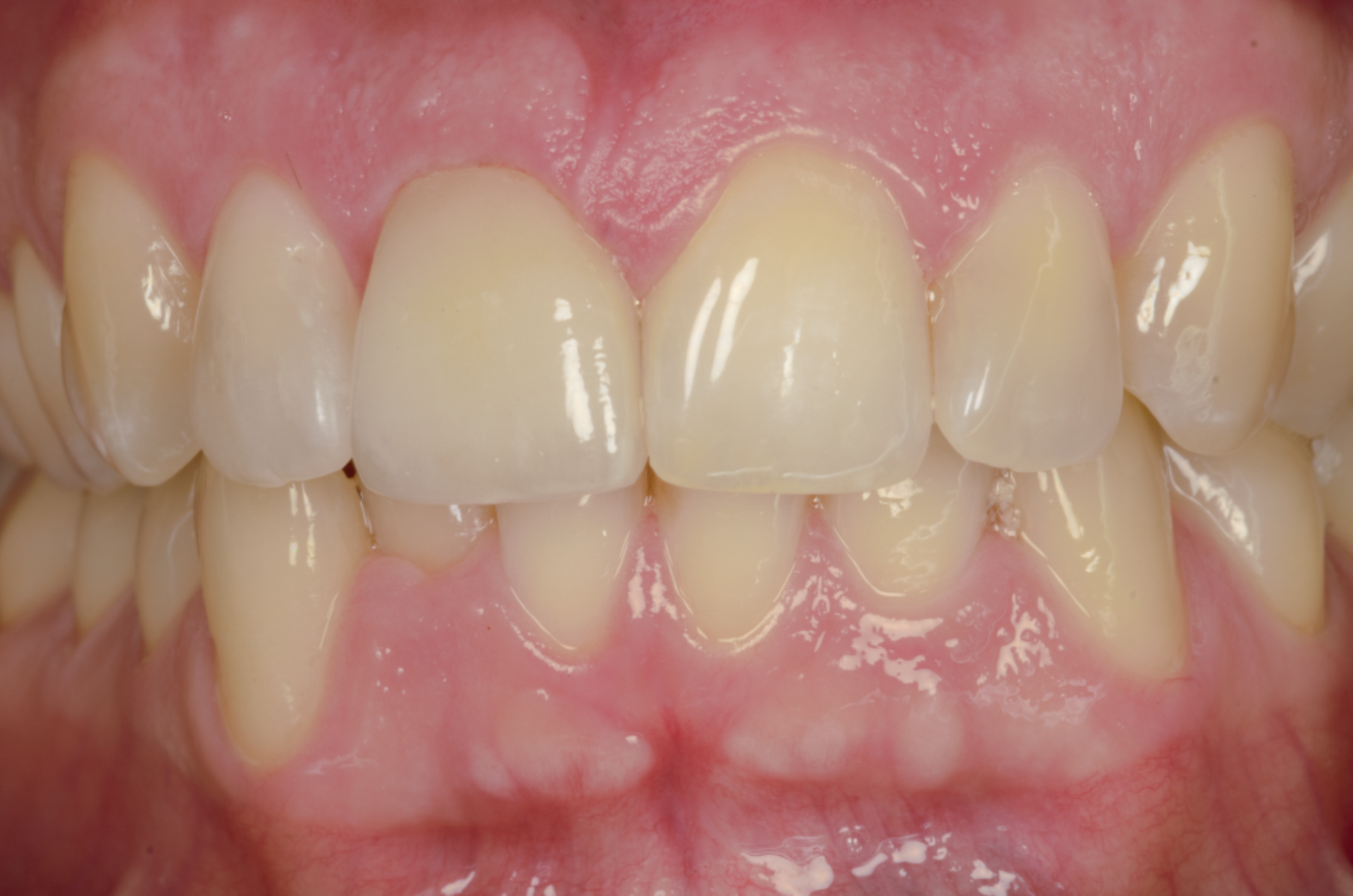
faccette estetiche dentali
Le faccette dentali sono sottili lamine in ceramica o disilicato di litio che vengono applicate sulla parte frontale dei denti per migliorarne colore, forma e armonia in modo naturale. Presso lo Studio Dentistico Oria di Torino, le realizziamo con tecnologie digitali e tecniche adesive di ultima generazione, garantendo risultati estetici, duraturi e perfettamente integrati nel viso del paziente.
Spesse meno di un millimetro, le faccette vengono adesivamente cementate allo smalto e diventano un tutt’uno con il dente. Sono ideali per correggere macchie, usura, disallineamenti lievi o spazi tra i denti, senza ricorrere a interventi invasivi.
il risultato è immediato, sorprendente, naturale e completamente indolore.
Con lo scanner intraorale e il Digital Smile Design, progettiamo il nuovo sorriso prima ancora di iniziare. Il paziente può vedere l’anteprima del risultato e approvarlo, partecipando al processo creativo. Le faccette vengono poi realizzate in laboratorio con CAD/CAM ad altissima precisione, garantendo estetica, resistenza e biocompatibilità.
Le faccette donano sicurezza, naturalezza e armonia. Non si macchiano, durano negli anni e valorizzano la personalità di chi le indossa. Perché il sorriso perfetto è quello che sembra davvero tuo.
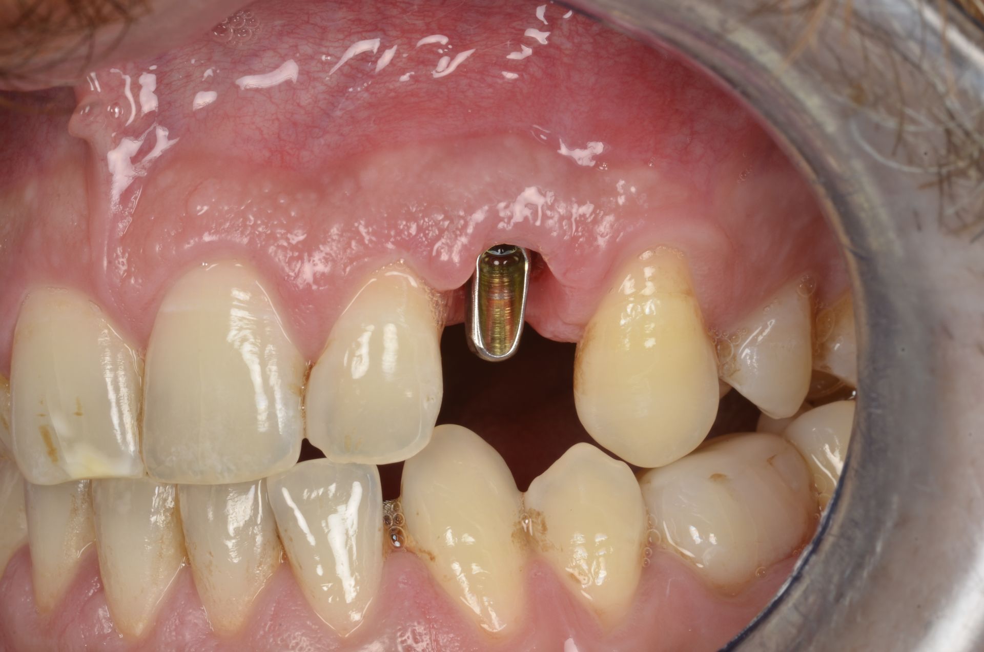
impianti dentali
Perdere uno o più denti può creare disagio, ma oggi con gli impianti dentali è possibile tornare a sorridere e a mangiare con serenità, in modo stabile e naturale. Presso lo Studio Dentistico Oria di Torino, realizziamo trattamenti implantari su misura, con tecnologie digitali e chirurgia guidata che garantiscono interventi precisi, indolori e mini-invasivi.
Un impianto dentale è una radice artificiale in titanio biocompatibile che si integra con l’osso, sostituendo perfettamente il dente naturale. Su di esso viene applicata una corona, un ponte,o una protesi personalizzata, restituendo estetica, funzionalità e comfort.
I vantaggi?
- Denti fissi e stabili, senza colle né fastidi.
- Masticazione naturale e sorriso armonioso.
- Conservazione dell’osso e salute nel tempo.
- Durata elevata, con controlli periodici semplici.
Ogni intervento è pianificato digitalmente con TAC 3D e scanner intraorale, per un risultato sicuro e predicibile. Quando possibile, grazie alla tecnica del carico immediato, possono essere applicati denti fissi in tempi brevissimi, anche in solo 24 ore
Con oltre 30 anni di esperienza, lo Studio Dentistico Oria Torino unisce competenza, tecnologia e attenzione al paziente per restituire un sorriso stabile, naturale e pieno di fiducia.

ortodonzia
L’ortodonzia è la branca dell’odontoiatria che si occupa di correggere la posizione dei denti e delle arcate dentarie, migliorando sia l’estetica del sorriso che la funzionalità masticatoria. Presso lo Studio Dentistico Oria di Torino, offriamo soluzioni ortodontiche personalizzate per adulti, adolescenti e bambini, con approcci moderni, confortevoli e poco invasivi.
Trattiamo i casi di disallineamento, affollamento dentale, malocclusioni e problemi funzionali della mandibola con diverse tipologie di apparecchi ortodontici:
· Ortodonzia fissa tradizionale, con attacchi metallici o estetici in ceramica, ideale per garantire movimenti dentali precisi e controllati.
· Ortodonzia trasparente (Invisalign e sistemi simili), che utilizza mascherine rimovibili quasi invisibili, per un trattamento discreto e compatibile con la vita quotidiana.
· Ortodonzia funzionale e intercettiva, dedicata ai pazienti in crescita, utile per correggere abitudini viziate e guidare lo sviluppo armonico delle ossa mascellari.
Ogni trattamento ortodontico viene preceduto da una valutazione posturale accurata, per analizzare l’equilibrio tra occlusione, muscolatura e postura generale del paziente. Questo approccio integrato consente di ottenere non solo un sorriso allineato, ma anche un equilibrio funzionale stabile nel tempo.
Grazie alla tecnologia digitale e alle moderne tecniche di pianificazione 3D, possiamo prevedere con precisione l’evoluzione del trattamento e garantire risultati estetici e funzionali duraturi.
Il nostro obiettivo è restituire a ogni paziente un sorriso armonioso, stabile e naturale, con percorsi terapeutici su misura, pensati per il massimo comfort e la minima visibilità.
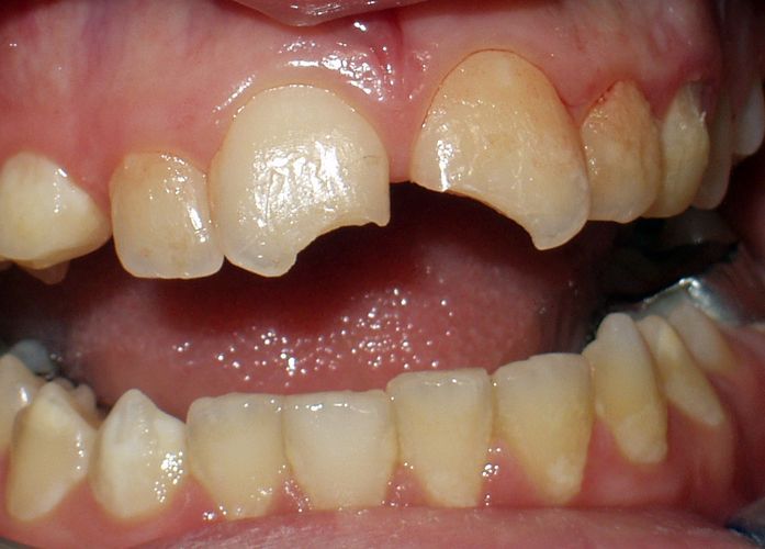
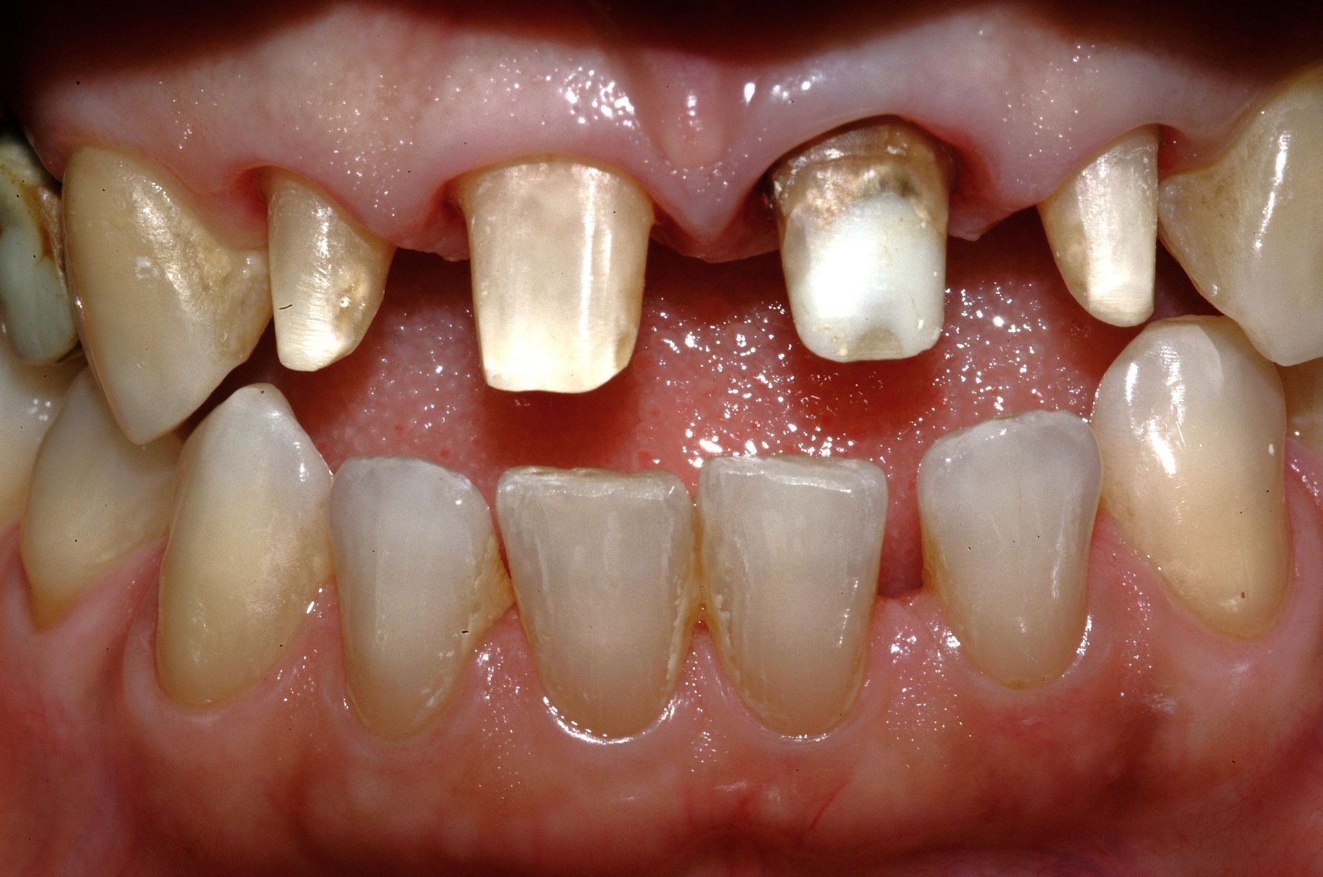
otturazioni fratture coronali
Le otturazioni dentali e le ricostruzioni coronali servono a ripristinare forma, funzione ed estetica dei denti danneggiati da carie o traumi. Presso lo Studio Dentistico Oria di Torino, utilizziamo materiali di ultima generazione e tecniche conservative per preservare il più possibile il tessuto dentale sano, mantenendo un aspetto naturale e duraturo nel tempo.
Le otturazioni estetiche in composito vengono realizzate con materiali fotopolimerizzabili che si integrano perfettamente con il colore del dente, assicurando un risultato invisibile e resistente. Nei casi in cui la perdita di sostanza sia più estesa, eseguiamo ricostruzioni coronali parziali, come intarsi, overlay, onlay o corone progettate digitalmente per garantire massima precisione e tenuta meccanica.
Grazie all’impiego del microscopio operatorio è possibile individuare microfratture, infiltrazioni o carie iniziali con un livello di dettaglio elevato, evitando trattamenti più invasivi e migliorando la longevità del dente restaurato.
I traumi dentali nei bambini sono eventi frequenti, spesso legati a cadute o attività sportive. Presso lo Studio Dentistico Oria di Torino interveniamo tempestivamente per salvare e ricostruire i denti lesionati, riducendo il rischio di complicanze e preservando lo sviluppo corretto delle arcate dentarie.
Grazie all’impiego del microscopio operatorio e di tecniche adesive conservative, è possibile trattare fratture coronali, lussazioni e avulsioni con la massima precisione, anche nei denti decidui o in fase di permuta. L’approccio delicato e attento all’età del piccolo paziente permette di ridurre ansia e paura, garantendo una cura sicura, empatica e personalizzata.

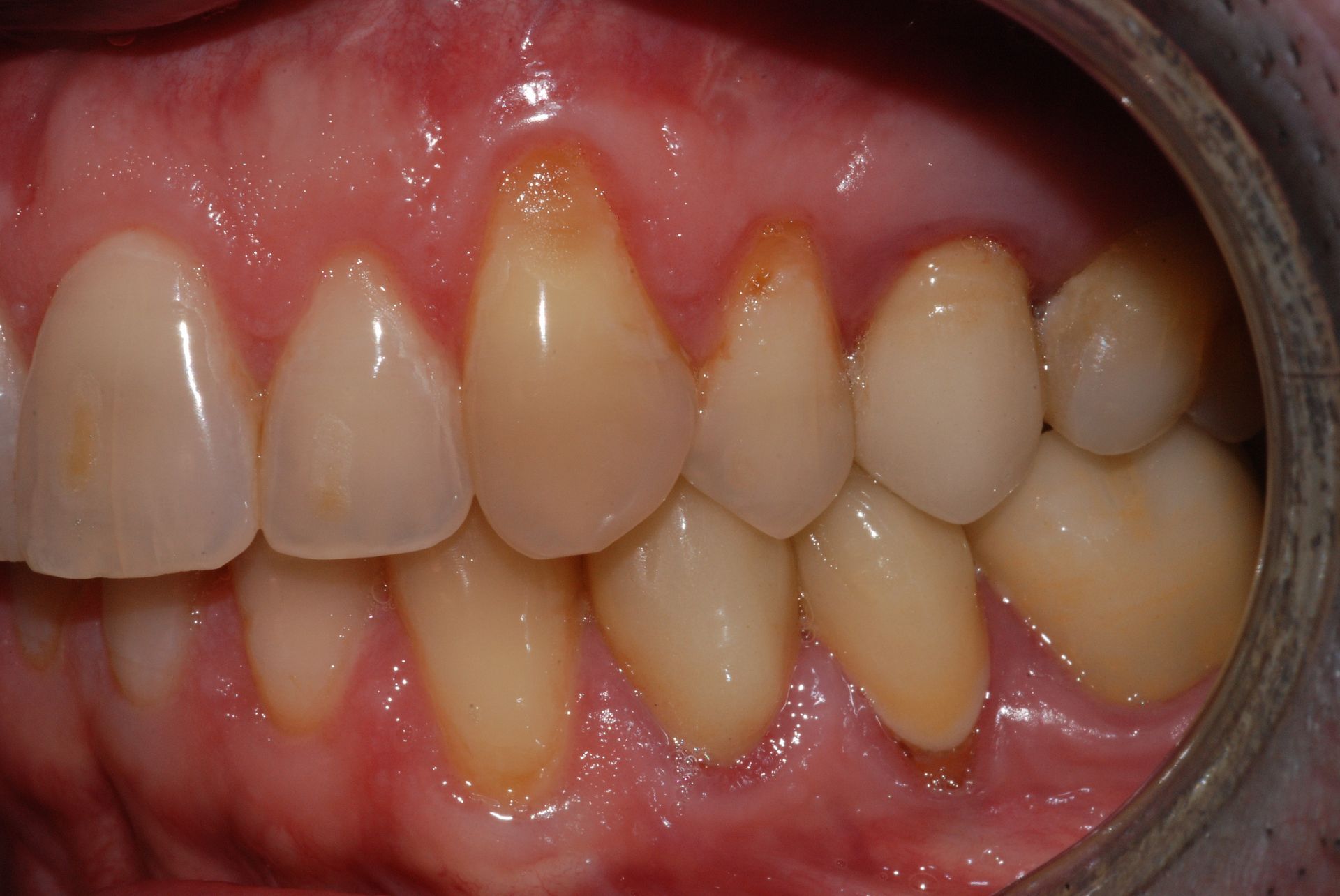
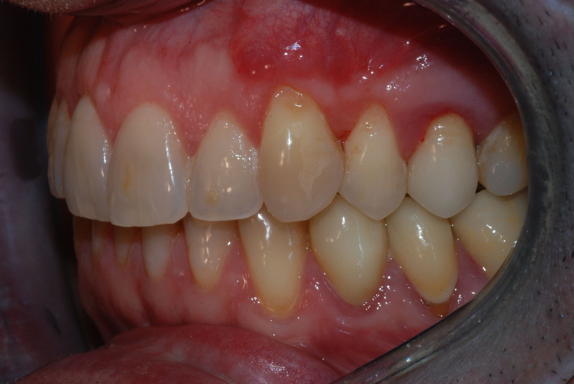
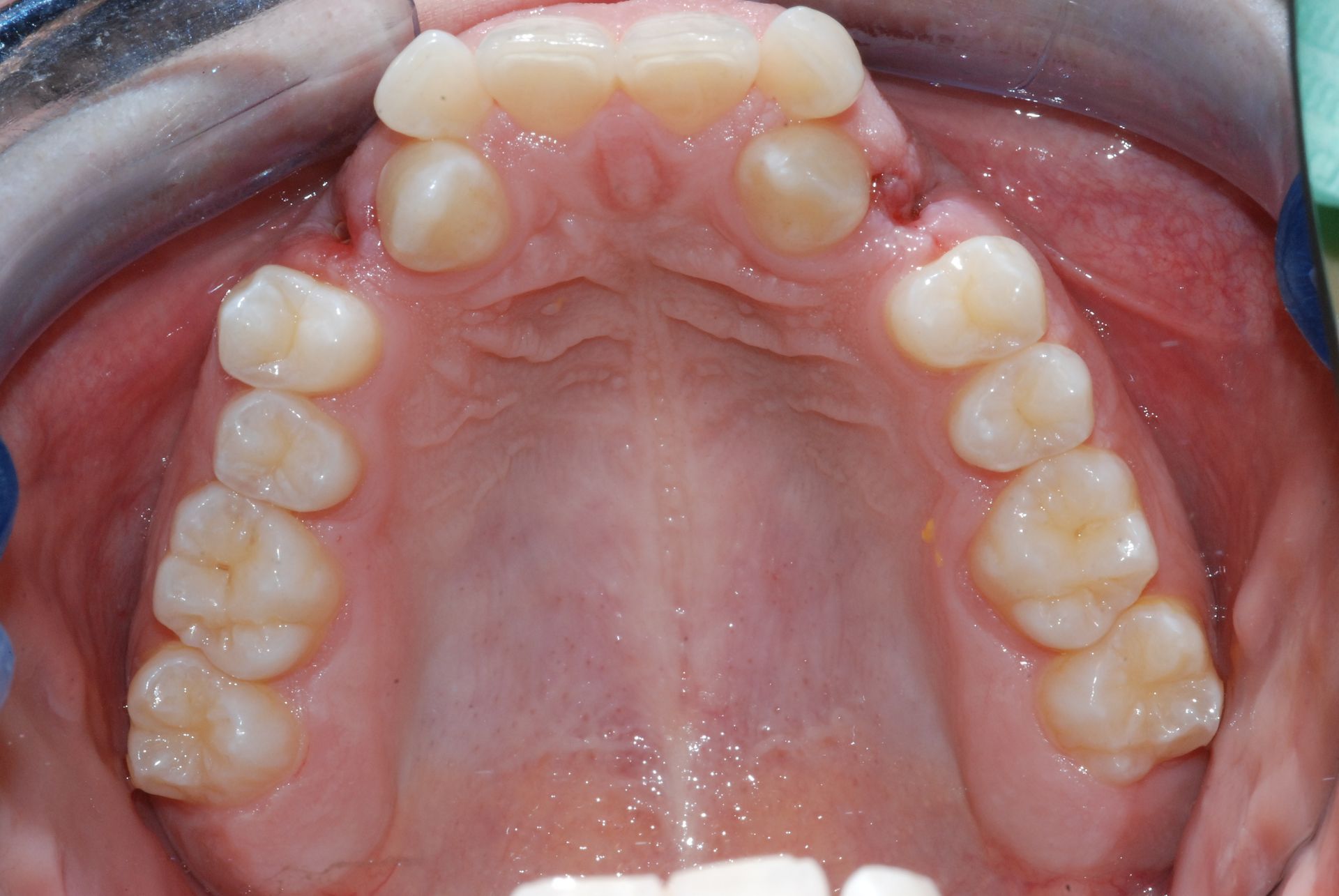
Parodontologia e splintaggi dentali
La parodontologia si occupa della prevenzione e del trattamento delle malattie gengivali e del parodonto, l’insieme dei tessuti che sostengono il dente (gengiva, osso e legamento parodontale). Presso lo Studio Dentistico Oria di Torino effettuiamo diagnosi accurate e terapie mirate per contrastare gengiviti e parodontiti, preservando la salute e la stabilità dei denti naturali.
Quando la mobilità dentale è presente, interveniamo con sistemi di splintaggio: sottili fibre o strutture in composito che uniscono più denti tra loro, migliorandone la stabilità e distribuendo uniformemente le forze masticatorie.
Nei casi più complessi, realizziamo protesi parodontali personalizzate, che ristabiliscono estetica e funzione rispettando l’equilibrio dei tessuti di sostegno.
Grazie alla Odontoiatria microscopica e interventi miniinvasivi ) e alle tecniche minimamente invasive, è possibile ottenere risultati precisi, duraturi e un miglior comfort per il paziente.
Se cerchi un parodontologo a Torino, lo Studio Dentistico Oria offre trattamenti avanzati per la cura della parodontite, la stabilizzazione dei denti mobili con splintaggi e la realizzazione di protesi parodontali personalizzate. L’approccio microscopico e digitale consente di ottenere una guarigione più controllata e risultati estetici naturali.
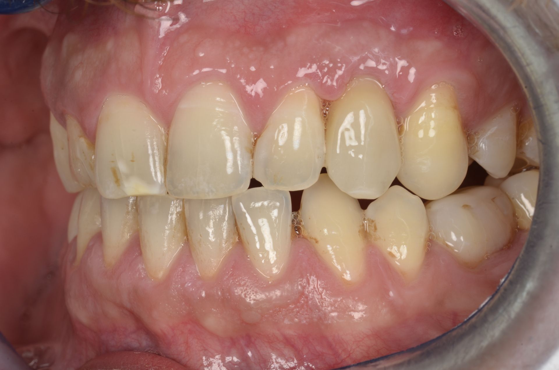
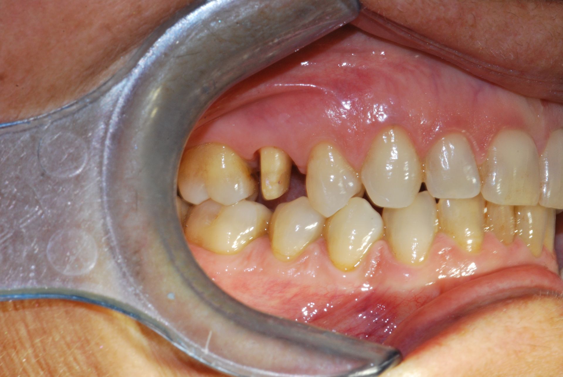
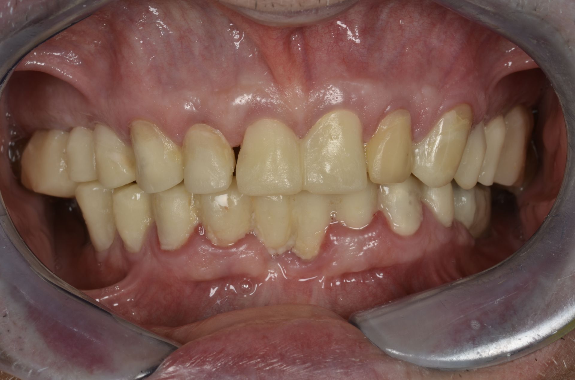
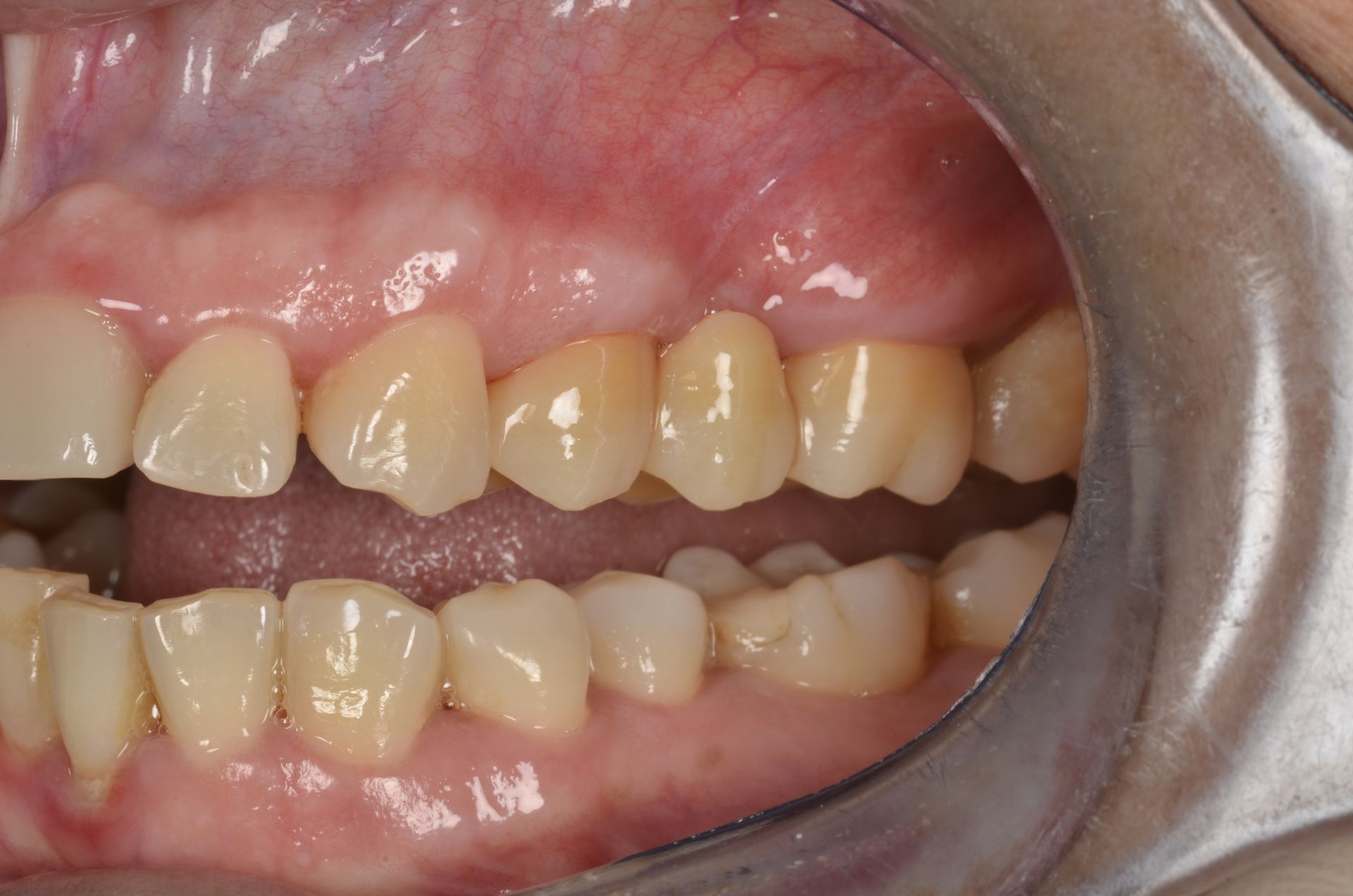
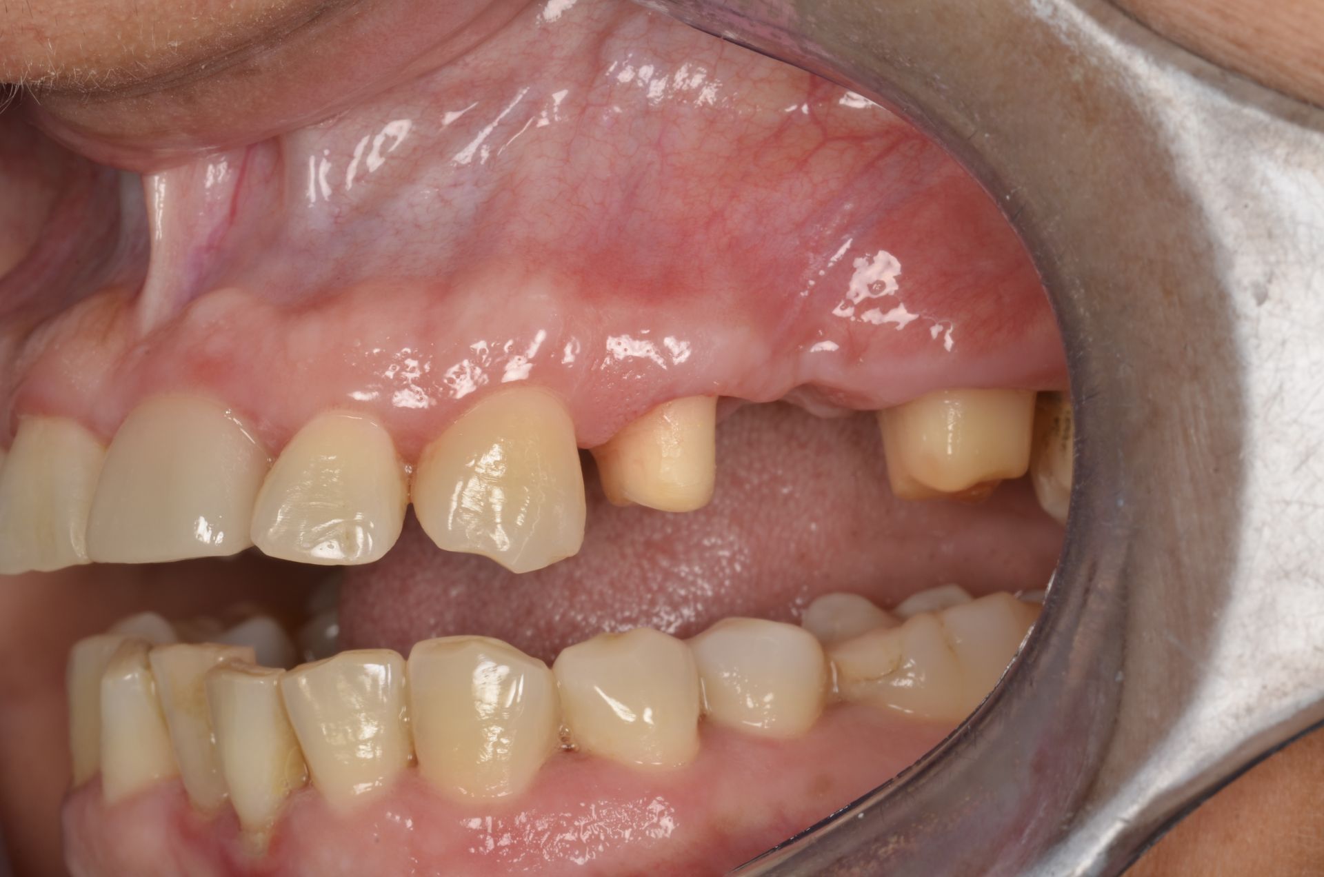
ponti dentali
I ponti dentali sono una soluzione fissa, estetica e duratura per sostituire uno o più denti mancanti, ripristinando funzione masticatoria, estetica e armonia del sorriso. Presso lo Studio Dentistico Oria a Torino, realizziamo ponti dentali su misura con tecnologie digitali e microscopiche che assicurano precisione, comfort e un risultato perfettamente integrato.
Un ponte dentale è formato da una serie di corone unite tra loro: gli elementi estremi si appoggiano sui denti naturali (o su impianti) adiacenti, mentre quelli centrali sostituiscono i denti mancanti. Rappresenta un’alternativa valida agli impianti dentali, particolarmente indicata nei casi in cui non sia possibile o non si desideri inserire un impianto, oppure quando i denti vicini necessitano già di essere ricoperti da corone.
Tipi e materiali dei ponti dentali
- Ponti in ceramica integrale o zirconia: completamente privi di metallo, offrono un’estetica eccellente e un aspetto naturale, perfetti per i settori anteriori.
- Ponti metallo-ceramica: combinano robustezza e durata, ideali per sostituire denti posteriori.
- Ponti su impianti: ancorati a fixture implantari, garantiscono stabilità e funzione ottimale anche in riabilitazioni estese.
Grazie alla scansione digitale intraorale e progettazione CAD-CAM, realizziamo ponti dentali con massima accuratezza di adattamento, riducendo i tempi di lavorazione e migliorando il comfort del paziente. Ogni ponte viene personalizzato per garantire una masticazione equilibrata, estetica naturale e lunga durata nel tempo.
Affidati allo Studio Dentistico Oria di Torino per la sostituzione dei denti mancanti con ponti dentali estetici e funzionali, progettati con le più moderne tecnologie digitali e materiali di ultima generazione.
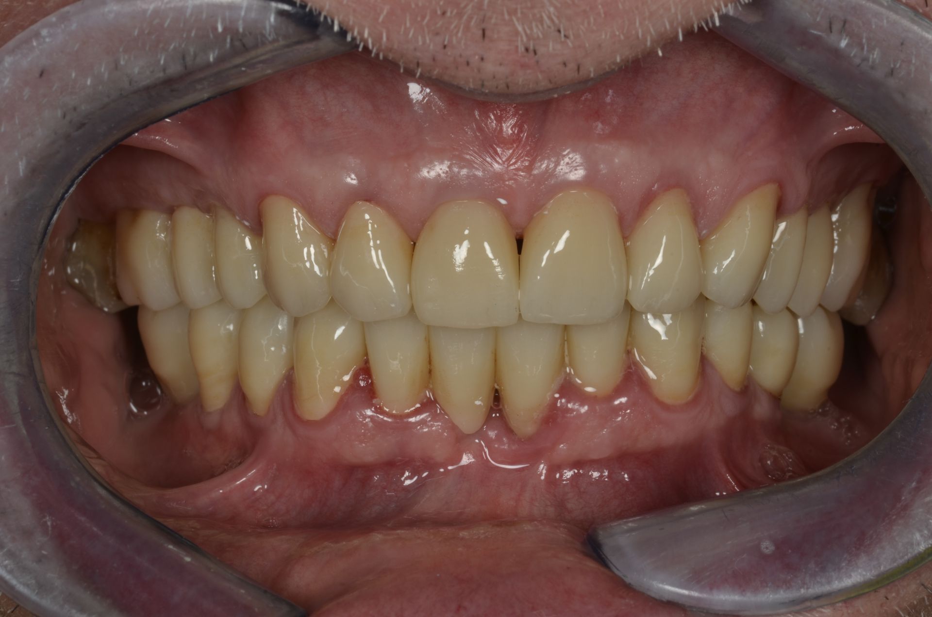
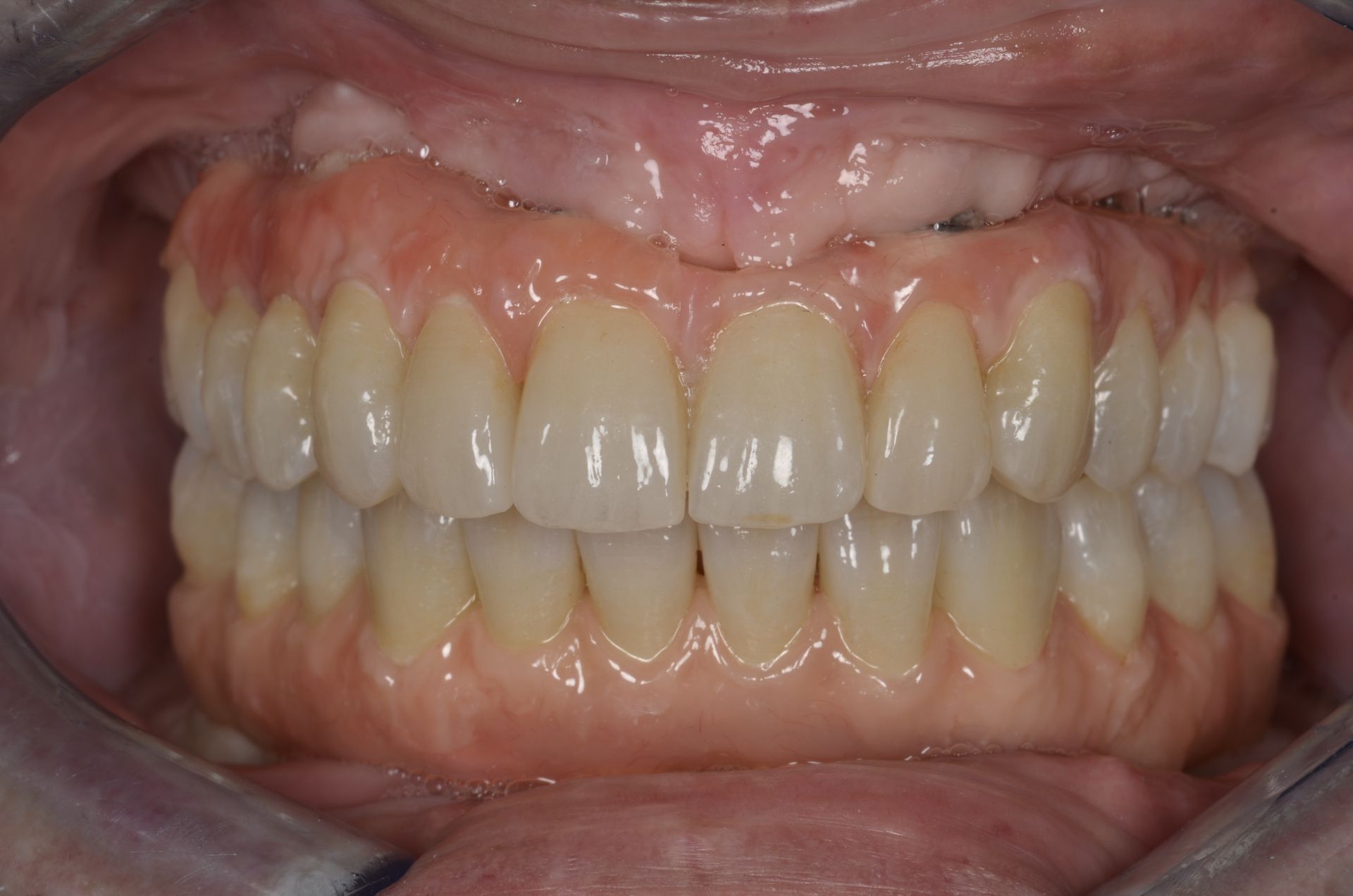
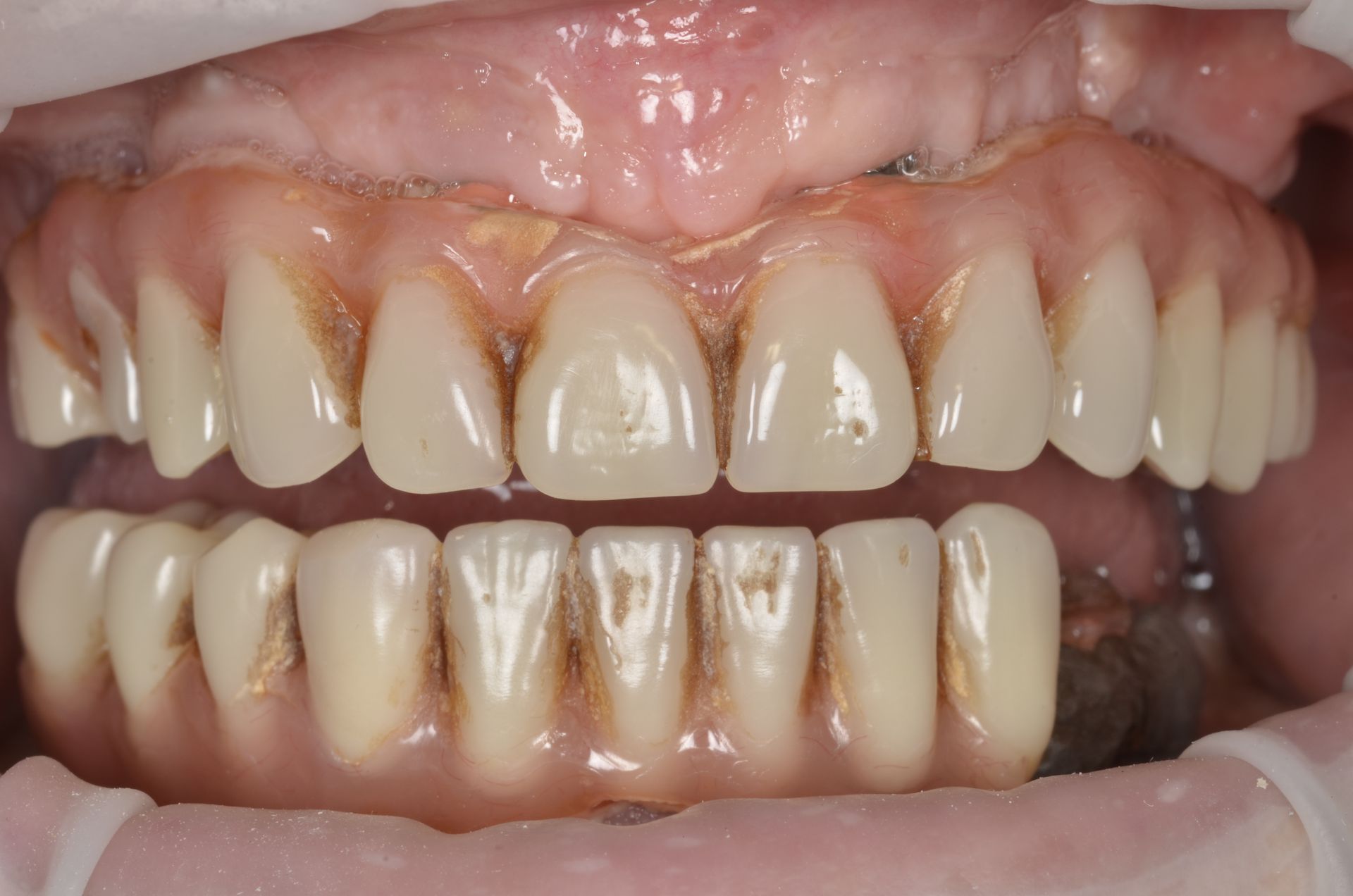
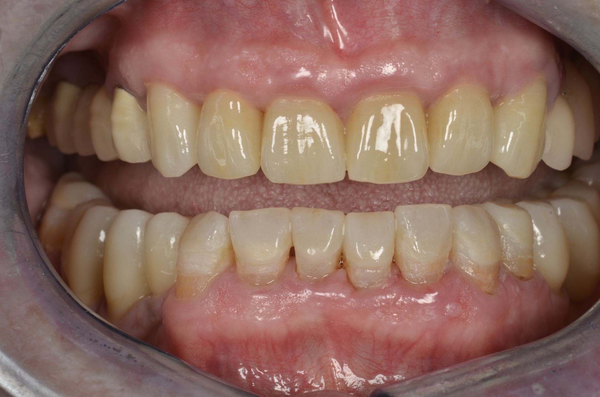
riabilitazione estetica funzionale
Quando molti denti sono danneggiati o mancanti, anche le cose più semplici — mangiare, parlare, sorridere — possono diventare difficili. La riabilitazione estetica e funzionale permette di ricostruire l’intero sorriso, restituendo comfort, estetica e sicurezza.
Presso lo Studio Dentistico Oria di Torino, affrontiamo ogni caso con tecnologie digitali di ultima generazione e un approccio personalizzato e multidisciplinare, combinando protesi, implantologia, parodontologia e odontoiatria estetica. Analizziamo la struttura ossea, la funzione masticatoria e l’armonia del viso attraverso TAC 3D, scanner intraorale e progettazione digitale del sorriso (Digital Smile Design), per pianificare un risultato preciso e naturale.
Grazie a impianti dentali di ultima generazione, chirurgia guidata mini-invasiva e protesi in zirconia o disilicato di litio, è possibile ottenere denti fissi, estetici e stabili anche nei casi più complessi. Quando le condizioni lo permettono, applichiamo anche protesi a carico immediato, consentendo di tornare a sorridere in 24 ore.
Le nuove protesi e gli impianti vengono realizzati con materiali estetici di ultima generazione come zirconia e disilicato di litio, per un effetto realistico e duraturo.
Il risultato non è solo un sorriso più bello, ma una bocca che torna a funzionare in modo naturale
Il nostro obiettivo non è solo ricostruire i denti, ma ripristinare funzione, armonia e fiducia. Un sorriso completo significa mangiare bene, parlare con naturalezza e sentirsi di nuovo sé stessi.




