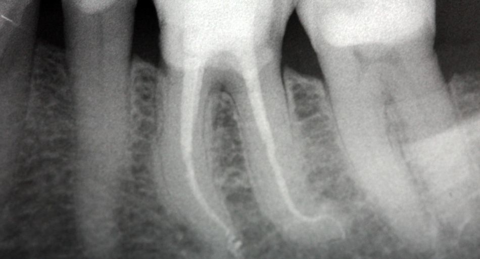
Radiografia dentale di un dente; il trattamento canalare è visibile con contorni netti, su uno sfondo scuro.

ENDODONZIA (DEVITALIZZAZIONE) TRADIZIONALE, ENDODONZIA MICROSCOPICA, RIMOZIONE STRUMENTI FRATTURATI NELLE RADICI, APICETOMIE IN MICROSCOPIA, RECUPERO PRECEDENTI FALLIMENTI TERAPEUTICI, DECONTAMINAZIONE LASER CANALI RADICOLARI

Lo stato dell’arte in endodonzia è ormai universalmente riconosciuto essere la microscopia. Terapie che in passato risultavano impossibili diventano oggi di routine lavorando ad alti ingrandimenti.

È così possibile curare con successo ascessi, granulomi e infezioni dentarie, grazie anche all’utilizzo di strumenti avanzati come il rilevatore elettronico di apice, gli strumenti NiTi e il micromotore ad induzione.

Le tecniche microchirurgiche permettono inoltre di recuperare denti altrimenti destinati all’estrazione o di intervenire su precedenti fallimenti terapeutici tramite apicectomie, rimozione di strumenti fratturati nelle radici e sigillature di perforazioni radicolari.

Prima di decidere per un’estrazione, valutate sempre le possibilità offerte dall’endodonzia microscopica.

Contatta lo studio